“如何安全、专业地查看胸片曝光:实用指南”
jc/2024-11-08 11:52:02
在日常生活中,我们可能会遇到各种与健康相关的问题,其中,“我想看胸片曝光”这一需求可能源于对个人健康状况的关心或对医学影像技术的好奇。然而,这一需求涉及到医疗隐私、专业知识以及合法合规等多个方面,因此,我们需要从多个维度进行理性探讨,以确保在满足个人需求的同时,不侵犯他人权益,不违反法律法规。
一、了解胸片曝光的意义与目的

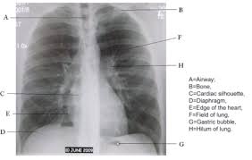
胸片,即胸部x光片,是医学上常用的一种检查手段,主要用于观察肺部、心脏、肋骨等胸部结构的异常情况。胸片曝光是指通过x射线对胸部进行照射,并将影像记录在胶片或数字探测器上的过程。这一过程的目的是为了辅助医生进行疾病诊断,而非满足个人好奇心或娱乐需求。
二、尊重医疗隐私与保护个人信息安全
在提出“我想看胸片曝光”的需求时,我们首先要意识到,胸片作为一种医学影像资料,属于患者的个人隐私范畴。未经患者同意,擅自查看或传播他人的胸片曝光信息,不仅侵犯了患者的隐私权,还可能引发法律纠纷。因此,无论是患者本人还是其他相关人员,都应严格遵守医疗隐私保护的相关规定,确保个人信息安全。

三、合法合规获取胸片信息的途径

如果患者确实需要查看自己的胸片曝光信息,应通过合法合规的途径进行。一般来说,患者可以在就诊时向医生提出查看自己医学影像资料的要求,医生在确认患者身份并征得患者同意后,会提供相应的查看方式。此外,随着医疗信息化的发展,越来越多的医院开始提供电子病历和医学影像资料的在线查询服务,患者可以通过医院官方网站或移动医疗app等渠道进行查询。
四、理性对待胸片曝光结果
在获取胸片曝光信息后,患者应保持理性态度,正确解读胸片结果。胸片上的影像信息需要由专业医生进行解读和分析,患者不应自行判断或解读胸片结果,以免因误解或误判而引发不必要的恐慌或焦虑。如果对胸片结果有疑问或担忧,应及时向医生咨询并寻求专业建议。
五、加强医学影像知识的普及与教育
为了提高公众对医学影像技术的认识和了解,减少因误解或无知而引发的担忧和恐慌,相关部门和机构应加强医学影像知识的普及与教育。通过举办讲座、制作宣传材料等方式,向公众普及医学影像技术的原理、应用及注意事项等方面的知识,帮助公众树立正确的医学影像观念。
综上所述,“我想看胸片曝光”这一需求需要在尊重医疗隐私、保护个人信息安全、合法合规获取胸片信息以及理性对待胸片曝光结果等多个维度上进行综合考虑和妥善处理。同时,加强医学影像知识的普及与教育也是提高公众健康素养和医疗水平的重要途径。希望每位患者都能以科学、理性的态度对待自己的健康状况和医学影像资料。
相关攻略
-
- 云裳羽衣青龙卧墨池搭配指南
- 2025-03-02 11:03:02
-
- 探索战舰世界新宠:博罗季诺值得入手吗?
- 2025-03-01 12:45:26
-
- 2024人气火爆免费水浒主题手游合集
- 2025-02-28 14:22:22
-
- 奥特曼格斗进化3攻略指南
- 2025-02-28 12:05:23
-
- 黑暗笔录全攻略:图文详解通关秘籍
- 2025-02-26 13:39:05
-
- 饥荒老奶奶角色玩法全攻略,轻松上手秘籍
- 2025-02-26 10:26:22
-
- 方舟霸王龙的最佳饲料指南
- 2025-02-10 12:07:02
-
- 黑暗之心全结局解锁秘籍:一网打尽所有达成方法
- 2025-02-09 12:20:02
-
- 女神异闻录5皇家版开场动画解析与含义
- 2025-02-08 13:02:02
-
- 赛尔号鲁尔蒂尼超进化全攻略:技能详解与实战策略
- 2025-02-07 11:12:02